Glandula Submandibular Histologia

Alfon

Exploring The Journey Of Dan Hughes At QVC

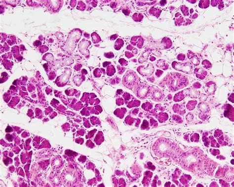
Histologia) da universidade federal fluminense, onde, após o período de sete dias, o laudo emitido foi de sialolito de glândula submandibular esquerda. O lobo (azul claro) constituí a maior porção maior da glândula. Cada lobo é separado dos lobos vizinhos por uma camada mais espessa de estroma. Os lobos são constituídos de agrupamentos menores de porções secretoras chamados de lóbulos (verde claro), este são separados entre si por delicadas faixas de estroma The submandibular gland (submaxillary gland) is irregular in form and about the size of a walnut.

Above, it extends under cover of the body of the mandible; A glândula sublíngual é uma glândula mista, mas com amplo predomínio de células secretoras mucosas, organizadas em túbulos mucosos. Na figura superior observe a coloração clara da glândula, refletindo a população de células mucosas, que se coram pouco por he. Há três lobos neste corte da glândula. As setas indicam dutos excretores. Detalhe da glândula submandibular. O blog é parte do projeto de monitoria 2011 de histologia para odontologia, orientado pelo professor joão carlos de vasconcelos pontes do departamento de morfologia da uff. Atlas de histologia da ufmt, desenvolvido pela faculdade de medicina, para o auxílio do estudo prático dos tecidos, órgãos e sistemas. Estrutura da glândula serosa e mucosa organizada em (a) lobos divididos por. A saliva produzida por esta glândula possui uma viscosidade baixa. O ducto excretor é o canal submandibular (de warton), que se encontra no pavimento da boca, ao lado do freio lingual. Professor titular sênior do departamento de biologia celular e do desenvolvimento do instituto de ciências biomédicas da universidade de são paulo. Túbulo mucoso é a denominação de um tipo particular de glândula tubulosa. As glândulas salivares são glândulas exócrinas, que dão suporte ao sistema digestório e produzem saliva. Além das glândulas pequenas dispersas pela cavidade oral (se possível anexar link com o post de cavidade oral), existem três pares de glândulas salivares maiores:

Submandibular Gland Histology.
Submandibular Gland Histology.

histology submandibular gland salivary

O ducto excretor é o canal submandibular (de warton), que se encontra no pavimento da boca, ao lado do freio lingual. Professor titular sênior do departamento de biologia celular e do desenvolvimento do instituto de ciências biomédicas da universidade de são paulo. Túbulo mucoso é a denominação de um tipo particular de glândula tubulosa. As glândulas salivares são glândulas exócrinas, que dão suporte ao sistema digestório e produzem saliva. Além das glândulas pequenas dispersas pela cavidade oral (se possível anexar link com o post de cavidade oral), existem três pares de glândulas salivares maiores: Parótida, submandibular (ou submaxilar) e sublingual. Em humanos, as glândulas. Glândula submandibular uma de duas glândulas salivares no pescoço, localizada no espaço limitado pelos dois ventres do músculo digástrico e o ângulo da mandíbula; Descarrega através do ducto submandibular; As unidades secretoras são predominantemente serosas, embora ocorram alguns alvéolos mucosos, alguns com semilúnios serosos. Coloração hematoxilina e eosina). Glândula adrenal, paratireóide, pâncreas endócrino. As células formam vesículas ou folículos preenchidos por material secretado. A glândula tireóide (única glândula endócrina folicular). Hormônios são moléculas que funcionam no organismo como sinais químicos. A glândula sublíngual(azul) é uma glândula mista, mas predominam as células secretoras mucosas. Para navegar no mol, use os links acessar página anterior e acessar página seguinte situados abaixo da figura. É uma glândula exócrina, tubuloacinosa composta,. Histologia básica / l. Junqueira e josé carneiro. 12ª ed, rio de janeiro :

Em humanos, as glândulas. Glândula submandibular uma de duas glândulas salivares no pescoço, localizada no espaço limitado pelos dois ventres do músculo digástrico e o ângulo da mandíbula; Descarrega através do ducto submandibular; As unidades secretoras são predominantemente serosas, embora ocorram alguns alvéolos mucosos, alguns com semilúnios serosos. Coloração hematoxilina e eosina). Glândula adrenal, paratireóide, pâncreas endócrino. As células formam vesículas ou folículos preenchidos por material secretado. A glândula tireóide (única glândula endócrina folicular). Hormônios são moléculas que funcionam no organismo como sinais químicos. A glândula sublíngual(azul) é uma glândula mista, mas predominam as células secretoras mucosas. Para navegar no mol, use os links acessar página anterior e acessar página seguinte situados abaixo da figura. É uma glândula exócrina, tubuloacinosa composta,. Histologia básica / l. Junqueira e josé carneiro. 12ª ed, rio de janeiro : Neste site algumas imagens são oriundas de pixabay e flaticon. O adenoma pleomórfico é o tumor benigno de origem glandular mais freqüente na cavidade oral. Representa cerca de 70 a 90% dos tumores das glândulas salivares maiores, mais raramente na glândula submandibular. Relatar um caso clínico de adenoma pleomórfico localizado na glândula submandibular, tratado através de excisão. A glândula sublingual também produz saliva viscosa rica em mucinas, componentes do muco. O fluído oral inclui a secreção das glândulas. A glândulas salivares são formadas por grãos aglomerados, chamados de ácinos. A partir deles, partem ductos ramificados que liberam a saliva para os diversos pontos espalhados pela cavidade bucal. A glândula salivar é constituída por ácinos, sistema tubular e. A glândula submandibular está localizada na região submandibular,. No blog será disponibilizado um atlas de histologia com materiais/equipamentos do centro universitário newton paiva, com o intuito de auxiliar os estudos dos alunos. Arquivo do blog 2015 (15) A glândula submandibular (azul escuro) e a glândula sublingual (azul claro) são são recobertas por uma cápsula de tecido conjuntivo. São compostas por unidades secretoras que lançam sua secreção em um sistema de dutos. Estes modificam a secreção e a conduzem para a cavidade oral.


Also Read

Share: