Periodontite Ulcerativa Necrosante

Alfon

Exploring The Journey Of Dan Hughes At QVC

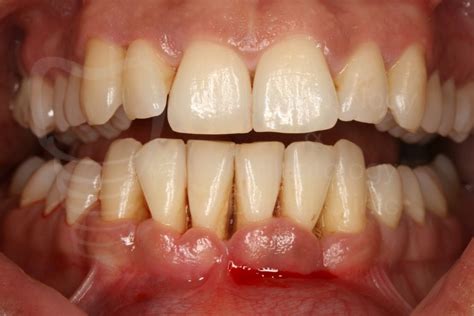
A gengivite ulcerativa necrosante aguda (guna) ou angina de vincent é uma doença infecciosa periodontal bacteriana caracterizada por úlceras e necrose do tecido gengival sem o envolvimento dos outros tecidos do periodonto. [1] se a doença avançar mais profundamente nos tecidos periodontais, ela passa a se denominar periodontite ulcerativa necrosante (pun). As formas de doenças periodontais necrosantes envolvem a gengivite ulcerativa necrosante (gun), a periodontite ulcerativa necrosante (pun) e a estomatite necrosante, cujo tratamento com agentes antimicrobianos de ação local e sistêmica parece ser um importante adjunto para o controle dessas patologias. Curiosidades sobre a gengivite ulcerativa necrosante aguda. A gengivite ulcerativa necrosante aguda é uma doença periodontal caracterizada por inflamação, úlceras e necrose dos tecidos gengivais.

A gengivite ulcerativa necrosante aguda é uma inflamação grave da gengiva que pode causar sintomas como vermelhidão nas gengivas, mau hálito e surgimento de feridas muito dolorosas. Conheça mais sobre a gengivite ulcerativa necrosante, sintomas, quem tem mais risco e como é feito o tratamento Pseudomembranosa, gingivitis ulcerativa aguda, gingivitis necrotizante y gingivitis ulcerativa necrosante aguda. (1, 2,3) una epidemia de gun fue descrita en la primera guerra mundial en el personal militar, presumiblemente asociada a múltiples factores de riesgo. E:\尀㄀⸀ 䔀搀椀猀漀渀 䄀渀搀爀攀猀 䌀爀甀稀屜3. A periodontite necrosante (pn), anteriormente denominada periodontite ulcerativa necrosante, é uma infeção oral multifatorial rapidamente destrutiva, caracterizada pela necrose dos tecidos moles gengivais, ligamento periodontal e osso alveolar. É uma doença inflamatória rara, provocada pelo biofilme bacteriano disbiótico em consonância. A gengivite ulcerativa necrosante aguda agora é rara, mas infecções menores na gengiva, envolvendo apenas alguns dentes, provavelmente ocorrem com relativa frequência. A forma grave geralmente afeta apenas pessoas com o sistema imunológico comprometido (por exemplo,. A gengivite ulcerativa necrosante (gun), é uma doença periodontal inflamatória e destrutiva, com baixa incidência, caracterizada pela necrose da ponta de papila interdental, apresenta sintomatologia dolorosa (esta pode se exacerbar ao toque ou durante a mastigação), sangramento espontâneo, halitose e pseudomembrana amarelada. Fazem parte deste grupo a gengivite ulcerativa necrosante (gun), periodontite ulcerativa necrosante (pun) e estomatite ulcerativa necrosante (eun) (armitage, 1999). A gun é caracterizada por ulceração marginal da gengiva, com formação de áreas de necrose, porém sem envolver o periodonto de inserção. Já a pun exibe áreas A periodontite ulcerativa necrosante tem fator etiológico relacionado à ação de bactérias e fatores predisponentes de risco. Seu tratamento é baseado na eliminação e/ou controle dos agentes etiológicos, mas por provocar sequelas como perdas de tecidos periodontais, pode haver a necessidade de cirurgias periodontais que visem tentar recuperar tecidos perdidos durante a. Saúde periodontal, condições e doenças gengivais;

Acute Ulcerative Necrotizing Periodontitis (ANUP) | Spyros Kouris
Acute Ulcerative Necrotizing Periodontitis (ANUP) | Spyros Kouris

anup periodontitis necrotizing ulcerative acute perio implants gr

A gun é caracterizada por ulceração marginal da gengiva, com formação de áreas de necrose, porém sem envolver o periodonto de inserção. Já a pun exibe áreas A periodontite ulcerativa necrosante tem fator etiológico relacionado à ação de bactérias e fatores predisponentes de risco. Seu tratamento é baseado na eliminação e/ou controle dos agentes etiológicos, mas por provocar sequelas como perdas de tecidos periodontais, pode haver a necessidade de cirurgias periodontais que visem tentar recuperar tecidos perdidos durante a. Saúde periodontal, condições e doenças gengivais; Outras condições que afetam o periodonto. A gengivite ulcerativa está no segundo grupo, na subdivisão “doenças periodontais necrosantes em pacientes comprometidos temporária e/ou muderadamente”. Vale ressaltar que, no documento, ela consta como gengivite necrosante. Noventa por cento dos pacientes com periodontite ulcerativa necrosante associada ao hiv respondem ao tratamento combinado com raspagem e alisamento, irrigação do sulco com iodopovidona (que o dentista aplica com uma seringa), uso regular de enxágues bucais com clorexidina e antibióticos sistêmicos, geralmente metronidazol, 250 mg por via. A gengivite ulcerativa necrosante, a periodontite ulcerativa necrosante, a estomatite ulcerativa necrosante e noma (cancrum oris) são infecções orais rapidamente destrutivas e debilitantes e têm sido consideradas como diferentes estadios clínicos da mesma doença (horning & cohen, 1995). São as formas de doença periodontal A periodontite ulcerativa necrosante tem fator etiológico relacionado à ação de bactérias e fatores predisponentes de risco. Seu tratamento é baseado na eliminação e/ou controle dos agentes etiológicos, mas por provocar sequelas como perdas de tecidos periodontais, pode haver a necessidade de cirurgias periodontais que visem tentar recuperar tecidos perdidos durante a. Nesta desordem, há o acometimento da gengiva, sem que outros tecidos periodontais sejam atingidos. Quando esta desordem evolui para. Periodontia, gengivite ulcerativa necrosante, caso clínico, gengivite, periodontite abstract introduction: Several predisposing factors are reported in necrotizing ulcerative. A periodontite ulcerativa necrosante é um processo inflamatório do periodonto que se caracteriza pela presença de úlcera e necrose da papila interdental, sangramento gengival, halitose, dor e perda óssea rápida. Pode haver formação de pseudomembrana, linfadenopatia e. A periodontite ulcerativa necrosante tem fator etiológico relacionado à ação de bactérias e fatores predisponentes de risco. Seu tratamento é baseado na eliminação e/ou controle dos agentes etiológicos, mas por provocar sequelas como perdas de tecidos periodontais, pode haver a.

A gengivite ulcerativa está no segundo grupo, na subdivisão “doenças periodontais necrosantes em pacientes comprometidos temporária e/ou muderadamente”. Vale ressaltar que, no documento, ela consta como gengivite necrosante. Noventa por cento dos pacientes com periodontite ulcerativa necrosante associada ao hiv respondem ao tratamento combinado com raspagem e alisamento, irrigação do sulco com iodopovidona (que o dentista aplica com uma seringa), uso regular de enxágues bucais com clorexidina e antibióticos sistêmicos, geralmente metronidazol, 250 mg por via. A gengivite ulcerativa necrosante, a periodontite ulcerativa necrosante, a estomatite ulcerativa necrosante e noma (cancrum oris) são infecções orais rapidamente destrutivas e debilitantes e têm sido consideradas como diferentes estadios clínicos da mesma doença (horning & cohen, 1995). São as formas de doença periodontal A periodontite ulcerativa necrosante tem fator etiológico relacionado à ação de bactérias e fatores predisponentes de risco. Seu tratamento é baseado na eliminação e/ou controle dos agentes etiológicos, mas por provocar sequelas como perdas de tecidos periodontais, pode haver a necessidade de cirurgias periodontais que visem tentar recuperar tecidos perdidos durante a. Nesta desordem, há o acometimento da gengiva, sem que outros tecidos periodontais sejam atingidos. Quando esta desordem evolui para. Periodontia, gengivite ulcerativa necrosante, caso clínico, gengivite, periodontite abstract introduction: Several predisposing factors are reported in necrotizing ulcerative. A periodontite ulcerativa necrosante é um processo inflamatório do periodonto que se caracteriza pela presença de úlcera e necrose da papila interdental, sangramento gengival, halitose, dor e perda óssea rápida. Pode haver formação de pseudomembrana, linfadenopatia e. A periodontite ulcerativa necrosante tem fator etiológico relacionado à ação de bactérias e fatores predisponentes de risco. Seu tratamento é baseado na eliminação e/ou controle dos agentes etiológicos, mas por provocar sequelas como perdas de tecidos periodontais, pode haver a. Envolvido na doença periodontal necrosante. Sendo apresentado com objetivos específicos: Apresentar sobre a fisiopatologia da doença periodontal necrosante; Identificar os fatores de riscos relacionados à doença periodontal necrosante e apontar os métodos de tratamentos e prevenção desse tipo de lesão bucal. A gengivite ulcerativa necrosante aguda (guna) é uma doença muito comum na odontologia, saiba sobre o diagnóstico,. Por exemplo, a tal periodontite juvenil passou a se chamar periodontite agressiva e nesta nova classificação de 2018 entra em um novo quesito que mede o grau de progressão da doença periodontal. Pela presença de destruição periodontal. Compreendem a gengivite ulcerativa necrosante, a periodontite ulcerativa necrosante e a estomatite ulcerativa necrosante. No entanto, é igualmente possível que estas condições possam representar diferentes fases da mesma doença, uma vez que têm etiologias, Gengivite ulcerativa necrosante relato de caso necrosante periodontal disease: Ulcerative gengivitis necrosante case report maurício colin b. Cordeiro avenida juscelino kubistchek, 110 centro joinville sc cep: Difere da gun em relação a característica constante de perda óssea alveolar e de inserção clínica, possui ulceração local e necrose do tecido gengival com exposição óssea, sangramento espontâneo e dor severa. Uma parcela significativa de pacientes nessa condição, é soro positivo em hiv. A gengivite ulcerativa necrosante (gun) é uma condição periodontal aguda, ou seja, uma infecção de rápida progressão que afeta as gengivas.


Also Read

Share: