Neoplasia Fusocelular Tratamento

Alfon

Exploring The Journey Of Dan Hughes At QVC

A cirurgia para os tumores de proliferação atípicas é similar a cirurgia para câncer de ovário invasivo só que com o objetivo de retirar o máximo do volume do tumor. A paciente geralmente é acompanhada sem tratamento adicional e monitoradas apenas com ultrassom. O tratamento se baseia no estádio e no subtipo histológico, com apenas alguns subtipos sendo sensíveis à quimioterapia. Sarcoma é um grupo de tumores sólidos raros que se originam nas células mesenquimais (tecido conjuntivo) e são responsáveis por 1% de todas as malignidades adultas. Olá, nem sempre uma proliferação fusocelular significa sarcoma.

Infectocontagiosas, a melhora nos meios de diagnóstico e protocolos de tratamento específicos e eficazes refletem diretamente no aumento da longevidade animal e da casuística das neoplasias, já que essas comumente se desenvolvem em indivíduos adultos a idosos (morrison. O termo neoplasia fusocelular deve estar se referindo a um tumor da linhagem dos sarcomas, que por definição podem sim dar metástases para outros órgãos. Converse com seu oncologista obre o quadro atual e o plano de tratamento. The frequency of pelvic. As neoplasias podem ser tratadas de diferentes formas, sendo necessário identificar o tipo de neoplasia e também a condição do paciente. As neoplasias benignas, por exemplo, podem ser tratadas ao remover o tumor e, em alguns casos, não é necessário nem mesmo tratamento. O que quer dizer infiltração por neoplasia bifásica (epitelioide e fusocelular). Existe um tratamento que reduz neurofibromatose plexiforme, vi na internet um com o nome imanitibe sera que é verdade? Quando a quimioterapia é resistente ao sarcoma, a rádioterapia também acaba sendo? O quê é neoplasia dermica fusocelular? Uma neoplasia significa o crescimento exagerado e incorreto de qualquer tipo de células no organismo, o que dá origem a um tumor. Veja quais os sintomas que podem surgir, como é feito o tratamento e quais as principais diferenças entre tumor maligno e benigno Atualmente, o único tratamento indicado para a eliminação do sarcoma em cães é a remoção cirúrgica do tumor. dependendo de sua localização, do estado e estágio da neoplasia no momento do diagnóstico, em muitos casos é necessário apoiar o tratamento cirúrgico com quimioterapia e/ou radioterapia. Foram postulados 5 estágios diferentes de. O câncer de pele, no brasil, corresponde a 33% de todos os diagnósticos de neoplasias, segundo o instituto nacional do câncer (inca).

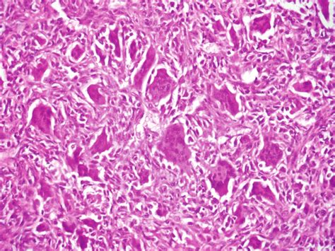
-Microscopia (aumento 100×). Observa-se neoplasia constituída por
-Microscopia (aumento 100×). Observa-se neoplasia constituída por

Uma neoplasia significa o crescimento exagerado e incorreto de qualquer tipo de células no organismo, o que dá origem a um tumor. Veja quais os sintomas que podem surgir, como é feito o tratamento e quais as principais diferenças entre tumor maligno e benigno Atualmente, o único tratamento indicado para a eliminação do sarcoma em cães é a remoção cirúrgica do tumor. dependendo de sua localização, do estado e estágio da neoplasia no momento do diagnóstico, em muitos casos é necessário apoiar o tratamento cirúrgico com quimioterapia e/ou radioterapia. Foram postulados 5 estágios diferentes de. O câncer de pele, no brasil, corresponde a 33% de todos os diagnósticos de neoplasias, segundo o instituto nacional do câncer (inca). A doença é provocada por um crescimento anormal e descontrolado de células que compõem a pele, e seus tipos são classificados de acordo com a camada afetada. Biópsia ou cirurgia prévias (detalhar). Livres de neoplasia distância entre o tumor e margem mais próxima _____ mm ou cm; Existem vários tumores do tecido conjuntivo e eles podem ser benignos ou malignos. Os malignos são chamados sarcomas. O tumor desmoide é um tumor benigno, mas localmente agressivo, isto é, que invade órgãos ou tecidos vizinhos. Usualmente ele não dá metástases, mas, pelo fato de ser agressivo, pode trazer uma série de problemas ao paciente ao longo do. Vale lembrar que fatores de risco aumentam o seu risco de desenvolver câncer, mas isso não quer dizer que você vai obrigatoriamente ter sarcomas de partes moles. Esse exame também determina o grau de malignidade do tumor, que é importante para a escolha do melhor tratamento. Pacientes com neoplasia de células fusiformes podem precisar de quimioterapia ou radiação como parte do tratamento. Uma neoplasia fusocelular é um tumor raro encontrado no tecido conjuntivo. Ele contém células fusiformes que se multiplicam de forma anormal e podem se tornar malignas. O que quer dizer infiltração por neoplasia bifásica (epitelioide e fusocelular). Existe um tratamento que reduz neurofibromatose plexiforme, vi na internet um com o nome imanitibe sera que é verdade? Quando a quimioterapia é resistente ao sarcoma, a rádioterapia também acaba sendo? O quê é neoplasia dermica fusocelular?

Biópsia ou cirurgia prévias (detalhar). Livres de neoplasia distância entre o tumor e margem mais próxima _____ mm ou cm; Existem vários tumores do tecido conjuntivo e eles podem ser benignos ou malignos. Os malignos são chamados sarcomas. O tumor desmoide é um tumor benigno, mas localmente agressivo, isto é, que invade órgãos ou tecidos vizinhos. Usualmente ele não dá metástases, mas, pelo fato de ser agressivo, pode trazer uma série de problemas ao paciente ao longo do. Vale lembrar que fatores de risco aumentam o seu risco de desenvolver câncer, mas isso não quer dizer que você vai obrigatoriamente ter sarcomas de partes moles. Esse exame também determina o grau de malignidade do tumor, que é importante para a escolha do melhor tratamento. Pacientes com neoplasia de células fusiformes podem precisar de quimioterapia ou radiação como parte do tratamento. Uma neoplasia fusocelular é um tumor raro encontrado no tecido conjuntivo. Ele contém células fusiformes que se multiplicam de forma anormal e podem se tornar malignas. O que quer dizer infiltração por neoplasia bifásica (epitelioide e fusocelular). Existe um tratamento que reduz neurofibromatose plexiforme, vi na internet um com o nome imanitibe sera que é verdade? Quando a quimioterapia é resistente ao sarcoma, a rádioterapia também acaba sendo? O quê é neoplasia dermica fusocelular? O que quer dizer infiltração por neoplasia bifásica (epitelioide e fusocelular). Existe um tratamento que reduz neurofibromatose plexiforme, vi na internet um com o nome imanitibe sera que é verdade? Quando a quimioterapia é resistente ao sarcoma, a rádioterapia também acaba sendo? O quê é neoplasia dermica fusocelular? O que é neoplasia fusocelular de baixo grau? O tratamento do sarcoma é multidisciplinar e envolve diferentes profissionais. O pilar principal do tratamento é a cirurgia, ou seja, a remoção do tumor com auxílio de um procedimento cirúrgico,. A escolha do tratamento é influenciada por fatores como a idade do paciente, histórico familiar de câncer de pele, e a presença de sintomas como dor ou sangramento. A excisão cirúrgica é frequentemente indicada para lesões localizadas em áreas sujeitas a trauma ou fricção, bem como para lesões que apresentam características atípicas. Câncer > sarcoma de partes moles > tratamentos; Tratamento do sarcoma de partes moles por estágio. Equipe oncoguia data de cadastro: Mostraram que os melhores resultados são obtidos com os pacientes tratados em centros oncológicos especializados no tratamento de sarcoma. Tipos de neoplasia de mama. Na sequência, entramos em mais detalhes sobre os dois tipos de neoplasia mamária:


Also Read

Share: